1月30日,一飞冲天游戏攻略站
肾脏内科与肿瘤与血管介入科协作,成功为一名血管条件差、不宜立即建立自体动静脉内瘘的57岁尿毒症女患者实施了数字减影血管造影(DSA)引导下带隧道和涤纶套的透析导管(TCC)置入术。此次手术由肾脏内科庾万宁主治医师、李慧副主任医师,肿瘤与血管介入科高龙副主任医师密切配合完成,标志着山医大一院在血液透析血管通路建立方式上实现了精准化、个体化、微创化的新突破,为复杂血管条件的透析患者提供了更安全、可靠的生命线。

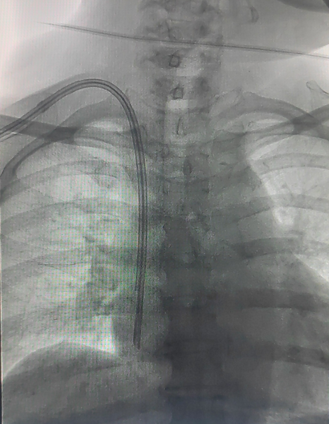
对于部分血管资源耗竭、心功能差、中心静脉狭窄或闭塞,以及需等待内瘘成熟的透析患者,TCC是重要的半永久血管通路。虽然传统盲穿或超声引导置管已广泛应用,但在极端血管变异、严重中心静脉病变等复杂情况下,仍存在置管失败、导管异位、血流不畅等问题。DSA引导下置管技术,利用DSA实时高清成像,可全程可视化显示血管形态、走行及病变情况,实现导丝、导管的精准定位与放置。该技术的核心优势在于:在DSA直接透视下操作,能有效避免误穿与误入,精准将导管尖端置于理想位置(如右心房中上部),同时实时影像监测有助于显著降低血管损伤、血肿、气胸及心律失常等并发症风险,尤其适用于既往多次置管、肥胖、解剖变异及中心静脉狭窄/闭塞的疑难病例,可根据患者血管条件灵活调整入路与导管位置,实现“一人一策”。
该患者由肾脏内科方敬爱教授医疗小组张紫媛、范彦君医生主管,诊断为尿毒症,行规律血液透析治疗,近期因心力衰竭、血压低等因素导致左侧自体动静脉内瘘堵塞,拟建立血管通路入院。经科室讨论后,本次手术在介入科DSA手术室进行,在实时透视引导下,清晰辨识患者右颈内静脉路径,一次性成功穿刺并将导丝送入下腔静脉。随后,建立皮下隧道,将带涤纶套的透析导管尖端精准定位至右心房中上部。术中全程严格无菌操作,患者生命体征平稳,术后无出血、感染、血气胸等并发症,次日透析时导管血流量充足,达到预期治疗效果。
该技术不仅能为复杂血管条件的患者提供更为安全、有效的“生命通道”,还具有显著的医疗效益:精准置管可延长导管使用寿命,减少感染、血栓等并发症,降低因通路问题导致的住院次数与医疗成本;手术时间短,有助于提高床位周转率与医疗效率;体现了山医大一院在血管通路领域的诊疗创新与技术积累,有助于提升肾脏病诊疗水平与多学科协作能力。
未来,肾脏内科将继续与肿瘤与血管介入科深化合作,完善该项技术的规范化流程与质量控制,并逐步拓展其临床应用范围,为更多终末期肾病患者提供个性化、精准化、全周期的血管通路管理服务,切实改善患者生活质量与预后。
供稿:肾脏内科 郭子仪
制作:张文华
初审初校:方敬爱
复审复校:温晓丽
终审终校:程红
发布:董希秀